Dentist at Rock Creek
Dr. Kimcuc Vo
Home
About
Our Team
Dr. Kimcuc Vo
Technology
Practice Photos
Services
View All
Cleanings and Exams
Family Dentistry
Periodontal Treatment
Cosmetic Dentistry
Dental Crowns and Bridges
Dental Implants
Injectable/Pressed Composite Veneer
Invisalign® Clear Aligners
Porcelain Veneers
Tooth-Colored Composite Fillings
Smile Gallery
Patient Info
View Patient Info
Testimonials
Financial
FAQs
Contact
Dentist at Rock Creek
Dr. Kimcuc Vo
Book Online
Like us on Facebook
Leave a Google Review
Instagram
(832) 534-3801
Dentist at Rock Creek
14502 Spring Cypress Rd #900
Cypress, TX 77429
Dentist at Rock Creek
>
Smile Gallery
>
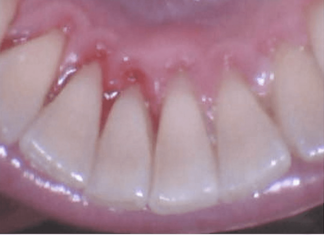
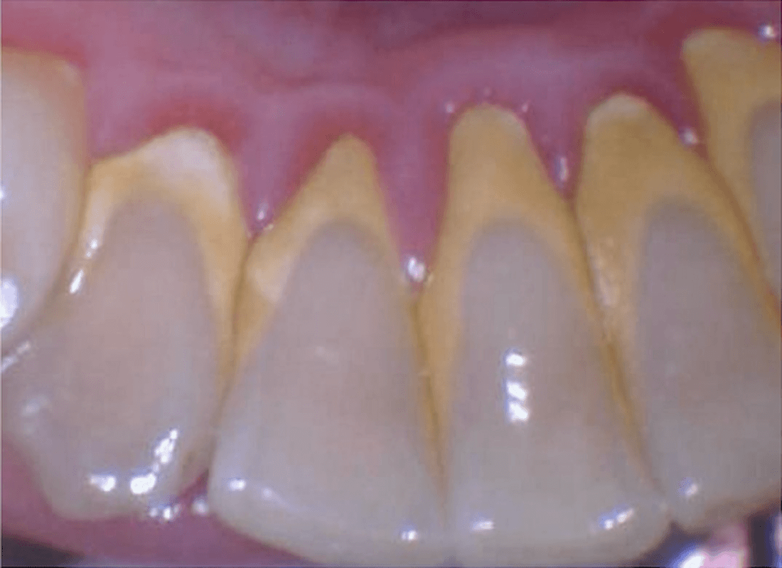
SRP 1
SRP 1
Return to Smile Gallery
Previous
Next
Click image to see a larger picture
Before
After
Are You Ready to Book Your Next Dental Visit?
Contact Us
If you have difficulty using our website, please
email us
or call us at
(832) 534-3801
View the
ADA Accessibility Statement
Turn on ADA Views
OK!
×
×
Contact Us Today
Give Us A Call
Dentist at Rock Creek -
(832) 534-3801
Send Us an Email
Book Online
Contact
Ready to Schedule an Appointment?
Book Online
Have Questions? Contact Us:
Required Field
Your Name:
Phone:
Email:
Are you a new patient?:
Are you a?
New Patient
Current Patient
How would you like us to contact you?
Please choose
Email
Call
How did you hear about us?
Please choose
I'm an existing patient
Google/Bing
Mailer
Word of mouth
Social media
Other
Who Referred You?:
Appointment Preferences
Monday
Tuesday
Wednesday
Thursday
Friday
Your Message:
This site is protected by reCAPTCHA and the Google
Privacy Policy
and
Terms of Service
apply.
Sending...
×
This Patient's Experience
Loading Testimonial...
Loading Case...